CAPN2 Antibody
Purified Mouse Monoclonal Antibody (Mab)
- SPECIFICATION
- CITATIONS
- PROTOCOLS
- BACKGROUND

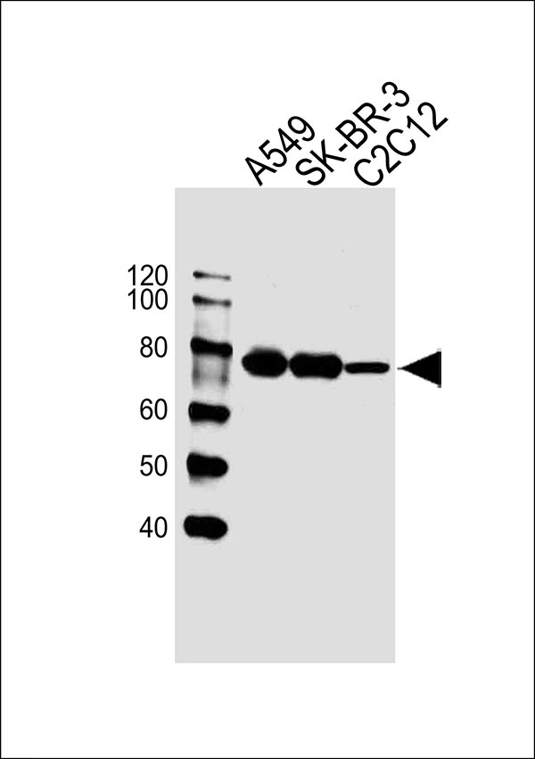
Application
| WB, IHC-P, FC |
|---|---|
| Primary Accession | P17655 |
| Reactivity | Human, Rat |
| Predicted | Mouse |
| Host | Mouse |
| Clonality | monoclonal |
| Calculated MW | H=80,71;M=80,71 KDa |
| Isotype | IgG2b |
| Antigen Source | HUMAN |
| Gene ID | 824 |
|---|---|
| Other Names | Calpain-2 catalytic subunit, Calcium-activated neutral proteinase 2, CANP 2, Calpain M-type, Calpain large polypeptide L2, Calpain-2 large subunit, Millimolar-calpain, M-calpain, CAPN2, CANPL2 |
| Dilution | WB~~1:1000 IHC-P~~1:25 FC~~1:100 |
| Target/Specificity | This CAPN2 antibody is generated from a mouse immunized with recombinant human CAPN2. |
| Format | Purified monoclonal antibody supplied in PBS with 0.09% (W/V) sodium azide. This antibody is purified through a protein G column, followed by dialysis against PBS. |
| Storage | Maintain refrigerated at 2-8°C for up to 2 weeks. For long term storage store at -20°C in small aliquots to prevent freeze-thaw cycles. |
| Precautions | CAPN2 Antibody is for research use only and not for use in diagnostic or therapeutic procedures. |
| Name | CAPN2 |
|---|---|
| Synonyms | CANPL2 |
| Function | Calcium-regulated non-lysosomal thiol-protease which catalyzes limited proteolysis of substrates involved in cytoskeletal remodeling and signal transduction. Proteolytically cleaves MYOC at 'Arg-226' (PubMed:17650508). Proteolytically cleaves CPEB3 following neuronal stimulation which abolishes CPEB3 translational repressor activity, leading to translation of CPEB3 target mRNAs (By similarity). |
| Cellular Location | Cytoplasm. Cell membrane. Note=Translocates to the plasma membrane upon Ca(2+) binding |
| Tissue Location | Ubiquitous. |

Thousands of laboratories across the world have published research that depended on the performance of antibodies from Abcepta to advance their research. Check out links to articles that cite our products in major peer-reviewed journals, organized by research category.
info@abcepta.com, and receive a free "I Love Antibodies" mug.
Provided below are standard protocols that you may find useful for product applications.
Background
Calcium-regulated non-lysosomal thiol-protease which catalyze limited proteolysis of substrates involved in cytoskeletal remodeling and signal transduction.
References
Imajoh S.,et al.Biochemistry 27:8122-8128(1988).
Ye Z.,et al.Biochem. Biophys. Res. Commun. 275:223-227(2000).
Ota T.,et al.Nat. Genet. 36:40-45(2004).
Gregory S.G.,et al.Nature 441:315-321(2006).
Hata A.,et al.J. Biol. Chem. 264:6404-6411(1989).
If you have used an Abcepta product and would like to share how it has performed, please click on the "Submit Review" button and provide the requested information. Our staff will examine and post your review and contact you if needed.
If you have any additional inquiries please email technical services at tech@abcepta.com.





Foundational characteristics of cancer include proliferation, angiogenesis, migration, evasion of apoptosis, and cellular immortality. Find key markers for these cellular processes and antibodies to detect them.
The SUMOplot™ Analysis Program predicts and scores sumoylation sites in your protein. SUMOylation is a post-translational modification involved in various cellular processes, such as nuclear-cytosolic transport, transcriptional regulation, apoptosis, protein stability, response to stress, and progression through the cell cycle.
The Autophagy Receptor Motif Plotter predicts and scores autophagy receptor binding sites in your protein. Identifying proteins connected to this pathway is critical to understanding the role of autophagy in physiological as well as pathological processes such as development, differentiation, neurodegenerative diseases, stress, infection, and cancer.




